خانه
سرویس خبری
طنزوسرگرمی
بهداشت ،سلامت و زیبایی
فرهنگی وهنری
حوادث،جنایی،انتظامی
ورزشی
عکس
عمومی
طب سنتی
تکنولوژی
اجتماعی
اقتصادی
سیاسی
عکس
فیلم
آرشیو
درباره ما
خوراک
آب و هوا
قیمت ها
اوقات شرعی
Saturday 15 Azar 1404
شنبه 06,دسامبر,2025
خانه
ایران
یزد
ابرکوه
اردکان
بافق فردا
بهاباد
تفت
خاتم
اشکذر
طبس
میبد
مهریز
شهربابک فردا
زارچ
رفسنجان
آگهی های رسمی
مروست فردا
.
جهان
خانه
بخش خبری
ایران
یزد
ابرکوه
اردکان
بافق فردا
بهاباد
تفت
خاتم
اشکذر
طبس
میبد
مهریز
شهربابک فردا
زارچ
رفسنجان
آگهی های رسمی
مروست فردا
.
جهان
سرویس خبری
طنزوسرگرمی
بهداشت ،سلامت و زیبایی
فرهنگی وهنری
حوادث،جنایی،انتظامی
ورزشی
عکس
عمومی
طب سنتی
تکنولوژی
اجتماعی
اقتصادی
سیاسی
آرشیو
دسترسی ها
عکس
فیلم
آرشیو
درباره ما
تماس با ما
سرتیتر خبری
فرزند آیت الله مکارم شیرازی درباره بیماری جسمی پدرش:در مورد کسالت پدر، بسیار غلو شده است
بیماری "کبد چرب" قابل درمان است؟
مگس پران چشم چیست و آیا برای چشم خطرناک است؟
آسم دارید دسر نخورید
رایجترین دلایل مرگ و میر در زنان و راهکارهای پیشگیری
نشانههای سرطان لوزالمعده را بشناسید
در مورد بیماری پوستی پیتیریازیس روزه آ
وجه اشتراک عجیب داروین، گوته و پروست / برای خاتمه دادن به خیانت زناشویی چه باید کرد؟
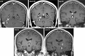
شناسایی ناحیه «آخ» در مغز / چگونه در تهران مواد مخدر تهیه کنیم؟!
سقف مجاز خوردن آجیل /آیا میتوان افسرده ولی خوشحال بود؟
بیماری
13 Azar 1394 - 18:29
مخدرهای جدید را بشناسید / شناسایی ژن دخیل در روابط عاشقانه
...
13 Azar 1394 - 18:22
صاحبان چه مشاغلی قویترین حافظه را دارند/گزارشی درباره زندگی معتادان به روانگردانها شیشه، توهم، تباهی
...
13 Azar 1394 - 18:15
عوارض «وای فای» بر مغز / کرم 40 میلیمتری در مغز یک انگلیسی!
...
13 Azar 1394 - 18:10
تردمیلی برای تمرین راه رفتن روی پوست موز! / نوشیدنی شیرین نخورید!
...
13 Azar 1394 - 18:07
دلایل بروز بوی بد دهان و راههای رفع آن / ماست چگونه بر شخصیت انسان تاثیر میگذارد؟
...
13 Azar 1394 - 17:58
چند دروغ در مورد رژیم لاغری / ویروسی که انسان را کندذهن می کند!
...
13 Azar 1394 - 17:52
شایعترین علت سکتههای مغزی چیست؟ /تصویری جراحی مغز از راه میانبر توسط ربات
...
13 Azar 1394 - 17:52
اولین واکسن مننژیت تایید شد / ٦ مرحله برای غلبه بر ناتوانی و یأس
...
13 Azar 1394 - 17:52
سوپ خون اردک غذای محبوب ویتنامیها! / آسپرین خطر سکته مغزی را کاهش میدهد
...
13 Azar 1394 - 17:51
ادعای جنجالی دانشمند ایتالیایی درباره پیوند سر / کدام دردها نشانه بیماری قلبی است؟
...
13 Azar 1394 - 17:51
یاریکردن، شادی میآورد / علایم یائسگی در مردان
...
13 Azar 1394 - 17:51
رژیم غذایی مناسب فصل سرما / ده نکته ای که ممکن است در مورد خنده ندانید
...
13 Azar 1394 - 16:36
چند نکته درباره «صرع»/ جمعیت سالمند تا سال 1400 به ده میلیون میرسد
...
13 Azar 1394 - 16:33
ارتباط ویروس تبخال با آلزایمر / پنج خوراکی ضد سرماخوردگی
...
13 Azar 1394 - 16:31
200هزار بیمار "صرع" مقاوم به درمان در ایران!/ علل و انواع کم شنوایی را بشناسیم
...
13 Azar 1394 - 16:27
ستارهها هم بیمار می می شوند"ستاره هایی که بیمارشدندبا تصویر!
...
13 Azar 1394 - 16:24
چگونه شادتر شویم؟ / آیا آینده ترسناک است؟
...
13 Azar 1394 - 16:16
خونآشامی جراحان برای نجات جان یک بیمار / تغذیه ناسالم مغز مردان را ملتهب میکند
...
13 Azar 1394 - 16:11
چه کنیم در پاییز سرما نخوریم؟ /چه کنیم از افسردگیهای پاییزی رها شویم؟
...
13 Azar 1394 - 15:58
استعدادیابی در موسیقی با ماده چرب گوش /والدین اقتدار خود را از دست دادهاند
...
13 Azar 1394 - 15:44
کدام رژیم لاغری مؤثر است؟ / سرو شکلات با مغز حشرات در یک باغ – موزه
...
13 Azar 1394 - 15:41
کلاهی برای ترکِ سریع رفتارهایِ بد / پاککردن حافظه با استفاده از نور
...
13 Azar 1394 - 15:37
طبیعیترین شیوههای مبارزه با درد / پروفسور سميعی برترين دانشمند و جراح مغز و اعصاب جهان
...
13 Azar 1394 - 14:32
خاطرات چگونه شکل میگیرند؟ / جراحی ترمیم جمجمه نوزادان به شیوه جدید
...
13 Azar 1394 - 14:28
چه کنیم سالم پیر شویم؟ / پنج زوج برنده جایزه نوبل
...
13 Azar 1394 - 14:25
30 جوان تاثیرگذار دنیای فناوری/ سه پژوهشگر مغز که نوبل پزشکی گفتند
...
13 Azar 1394 - 14:21
کاهش افسردگی با موسیقی درمانی/باورهای تکنولوژیک استیو جابزچه بود؟
...
13 Azar 1394 - 13:56
بازگشت حافظه بیماران آلزایمری برای نخستین بار /عاملی که مغز را مردانه و زنانه میکند
...
ابتدا
...
2
3
4
شنبه 06,دسامبر,2025